-
전립선암 초기증상 10가지카테고리 없음 2024. 3. 14. 00:02
목차
전립선암을 조기에 발견하지 못해 치료 없이 방치하게 되면 전립선암이 자라서 신체의 다른 부위로 퍼질 수 있으며, 배뇨 곤란, 고통, 심지어 사망과 같은 더 심각한 건강 문제로 이어질 가능성이 있어요. 그러니 전립선암 초기증상을 알아두면서 빠르게 캐치해서 빠른 치료를 통해 좋은 예후를 맞이하는 것이 좋아요.






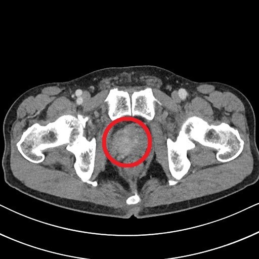
전립선암 초기증상 전립선암 발병 위험이 높은 남자나이나 일정 연령 이상의 남자는 특히나 더 조심해야 하고 항상 신경 써야 해요. 전립선암은 남자의 생식기관에 위치한 작은 샘인 전립선에 발생하는 암의 일종인데요. 전립선은 정자에 영양을 공급하고 지켜주는 체액을 생산하고 분비하는 할 일을 해요. 전립선암은 전립선의 비정상 세포가 성장하고 통제할 수 없이 증식해서 종양을 형성할 때 발생해요.
전립선암은 느리게 성장할 수 있으며 초기 단계에서는 무증상인 그럴 경우가 많아요. 그러나 암이 자라서 전립선을 넘어 전이된다면 배뇨 곤란, 소변 또는 정액의 혈액, 뼈 고통 및 피로와 같은 심각한 고통을 일으킬 수 있어요.






전립선암 초기증상 전립선암 초기증상
1. 잔뇨
잔뇨란 소변을 보고 난 직후에 방광 내에 소변이 남아있는 것으로 이 또 전립선암뿐만 아니라 전립선의 전체적인 문제 발생 시 보편적으로 발생하는 증상인데요.
2. 신경장애
전립선암은 척수를 압박해서 하지 운동 장애를 일으킬 수 있으며, 이는 전체 전립선암 환자의 20%에 영향을 미치며, 상식적으로 초기 단계의 암은 신경 증상을 일으키지 않지만 암이 척추를 압박해서 급성 압박을 유발하게 되면 응급 상황이며 즉각적인 치료가 필요해요.






전립선암 초기증상 3. 관절통
뼈나 관절계의 고통이 항상 전립선암을 나타내는 것은 아니긴 하지만, 가장 먼저 살펴봐야 할 증상 중 한가지인데요. 전립선암은 골반 림프절, 척추, 골반 뼈와 같은 전립선 주변 조직으로 전이되는 그럴 경우가 드물기 그리하여 이런 부위에 설명할 수 없는 고통이 있다면 의사와 상담하는 것이 중요해요. 일부 남자는은 허리, 엉덩이 또는 전립선 근처 부위에 고통을 느끼지만 단순한 신경통이나 관절통으로 치부하기도 해요.
4. 구역질, 부종
메스꺼움과 부종이 나타납니다. 그리고 방광 등 주변 장기를 망가뜨려 소변에 피가 섞여 나오며, 꼭 전립선암이 아니더라도 치료가 필요한 그럴 경우 혈뇨가 발생하기 때문에 전문의의 진찰이 필요해요.






전립선암 초기증상 5. 요실금
요도 압박으로 인해 발생하는 요실금이며, 아래와 같은 증상이 나타나면 전립선암을 체크해 볼 수 있다고 해요. 이런 증상들은 전립선암이 요도를 압박해서 소변이 제대로 흐르지 못하기 그리하여 발생해요. 이런 증상이 지속되면 신부전으로 이어질 수 있어요.
6.소변 줄기 약화
전립선의 암세포가 요도를 압박하게 되면 소변이 방광에서 흘러나오는 경로가 좁아져 소변 흐름이 약해져요. 이는 전립선암 및 기타 전립선 문제의 흔한 증상인데요.






전립선암 초기증상 7. 잦은 소변
성인의 그럴 경우 방광에 약 400~500cc의 소변이 가득 차면 소변을 보는 것이 정상인데요. 그러나 전립선 암으로 인해 빈번한 배뇨가 발생하게 되면 150cc 정도의 차가 될 수 있어요. 따라서 이 증상이 계속해서 발생하게 되면 전립선 암이 있을 수 있다는 신호인데요.
8. 골반통
골반 고통은 진행성 전립선암의 징후일 수 있어요. 고통은 일반적으로 옆구리, 배, 골반 부위에서 느껴지지만 암이 진행됨에 따라 뼈에서도 고통이 느껴질 수 있어요. 이런 부위에 고통이 있고 요로 감염 증상이 나타나면 의사를 내원해서 정확한 진단을 받는 것이 좋아요.






전립선암 초기증상 9. 혈뇨
혈뇨는 소변에 피가 섞여 나오는 증상으로, 상식적으로 신장이나 방광에 문제가 있다는 신호일 수 있으기 때문에 미리 체크를 받아보는 것이 좋아요. 전립선암도 혈뇨의 흔한 원인인데요. 전립선의 암세포는 전립선으로 출혈을 일으켜 혈뇨를 일으킬 수 있지만, 혈뇨는 전립선암의 흔한 증상일 뿐 아니라 요로감염이나 전립선의 거시적 문제와 같은 다른 일시적인 원인으로도 확인될 수 있어요.
10. 몸무게 감소
체중 감소, 피로, 식욕 감퇴는 진행성 전립선암의 가장 흔한 초기 증상 중 일부인데요. 전립선암은 초기 단계에서는 치료가 더 쉽기 그리하여 증상을 인식하고 정기 검진을 받는 것이 중요해요. 좋은 식단을 섭취하는 것도 질환 발병 위험을 줄이는 데 이로움이 될 수 있어요.






전립선암 초기증상 11. 빈뇨
성인은 방광에 소변이 약 400 ~ 500cc 정도있을 때 소변을 보는 것이 일반적이지만 전립선 암의 그럴 경우 방광이 반만 차 있어도 소변을 보고 싶은 충동이 발생할 수 있어요. 이런 증상이 있으면 전립선암을 체크해 보아야 해요.
폐암 초기증상 11가지 특징
폐암은 위암, 갑상선암 다음으로 3번째로 발병 빈도가 높은 3대 암 중 한 가지인데요. 폐암은 재발과 전이까지의 빈도도 잦은지라 완치가 어렵다고 하며 폐암 발병 초기에는 거의 증상이 없을 수
cnfqkftjs.againnew.co.kr
당근 효능 및 부작용 총정리
당근은 건강에 아주 유익한 채소로 알려져 있어요. 당근에는 베타카로틴, 비타민 C, 칼륨, 식이섬유 등 여러 가지 영양소가 풍부하게 포함되어 있어서, 우리 몸에 많은 효능을 제공해요. 당근은
cnfqkftjs.againnew.co.kr