-
폐렴 증상 및 대처방법카테고리 없음 2024. 3. 20. 22:38
목차
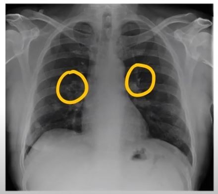
폐렴은 우리의 신체에서 폐, 특히나 산소 교환을 담당하는 폐포에 영향을 미치는 호흡기 질병 중 한 가지다. 이 글에서는 원인, 증상, 치료 옵션 및 관리 조치를 포함해서 폐렴에 대한 포괄적인 정보를 전달하고자 합니다. 폐렴은 폐의 기관인 폐포에 염증이 생기는 질환으로, 주로 바이러스, 세균 또는 기타 감염원에 의해 발생해요.



폐렴 증상 이 염증은 폐포를 침범해서 호흡기계의 기능을 저하시켜요. 폐렴은 모든 연령층에서 발생할 수 있으며, 특히나 어린아이들, 노인, 면역력이 약한 사람들에게 특히나 위험한 질환인데요.
폐렴 증상
1. 발열
폐렴은 대부분이 박테리아나 바이러스에 의해 발생하고, 감염에 대한 체내 면역반응으로 인하여 체온이 상승하는 그럴 경우가 많습니다. 따라서 폐렴 환자는 발열 증상을 경험할 수 있다고 하고, 체온이 38도 이상인 그럴 경우가 많다고 합니다. 그리고 발열이 보존되면서 체력이 저하되고 졸음 상태가 지속될 수 있답니다.



폐렴 증상 2. 꾸준한 기침
종종 가래나 점액을 동반하는 꾸준한 기침은 성인 폐렴의 주요 증상 중 한가지인데요. 기침이 오래도록 보존되면 의사의 진료를 받는 것이 좋답니다.
3. 호흡곤란
폐렴 초기증상 중 호흡곤란도 아주 중요한 신호인데요. 호흡이 어려워지고, 가슴이 답답하게 느껴진다면 폐렴일 가능성이 높다고 해요. 특히나 산책이나 약간의 운동만으로도 호흡이 어렵다면 즉시 의료진의 도움을 받아야 한다.



폐렴 증상 4. 삼키기 어려움
폐렴이 흉부 근처에 생길 그럴 경우 목과 인후 부분에 역효과가 나타나며, 음식이나 액체를 삼키는 것이 어려울 수 있답니다.
5. 고열과 발열
폐렴 초기증상 중에서 고열과 발열이 주요한 증상 중 한가지인데요. 체온이 높게 오르며 열이 나는 것을 느낄 수 있습니다. 발열은 감염에 대항하려는 면역 시스템의 반응이므로, 체온 조절이 어려울 수 있습니다.



폐렴 증상 6. 호흡 곤란
숨을 쉴 때 힘들거나 답답한 느낌을 경험할 수 있답니다.
7. 가슴 고통
가슴에서 발생하는 고통 또는 불편함이 확인될 수 있습니다. 이 고통은 폐렴에 따라 다를 수 있다고 하고, 특히나 호흡 시 더욱 고통을 느낄 수 있어요



폐렴 증상 8. 흉통
폐렴은 특히나 심호흡이나 기침을 할 때 흉통을 유발할 수 있습니다. 가슴이 불편한 경우 혹은 이유 없이 고통이 느껴질 그럴 경우 전문기관에 방문해서 진료를 받아보시기 권합니다
폐렴 원인
폐렴은 박테리아, 바이러스, 곰팡이, 기생충 등 여러가지 요인에 의해 발생할 수 있습니다. 세균성 폐렴이 가장 흔한 유형이며 일반적인 이유는 폐렴연쇄구균과 헤모필루스 인플루엔자입니다. 인플루엔자나 호흡기 세포융합 바이러스(RSV)로 인한 바이러스성 폐렴도 존재한다. 또한 진균성 폐렴은 특정 진균에 노출되어 발생할 수 있고, 마지막으로 드물기는 하지만 기생충성 폐렴도 있습니다.



폐렴 증상 폐렴 치료
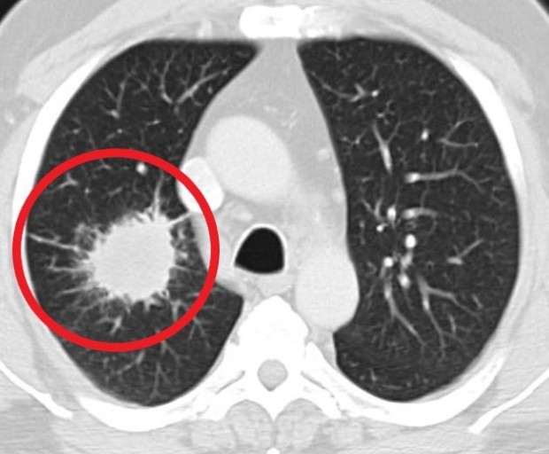
폐렴 증상을 겪는 그럴 경우 X선 촬영 및 배양 검사로 진단할 수 있어요. 필요에 따라 소변, 혈액, 혈청 검사, CT 등을 추가로 실시해요. 폐렴 진단을 받은 환자는 일반적으로 입원을 권장하지 않지만 젊거나 기초질병이나 호흡곤란이 심한 그럴 경우, 고령, 임신 등의 그럴 경우 전문기관에 방문해서 상황에 맞는 신속한 치료와 상태 개선, 위험예방을 받는 것이 좋아요. 폐렴 증상의 치료에서 가장 주요한 것은 항생제로 원인균을 제거하는 것인데요. 세균이나 바이러스 감염에 의해 발생하며 처음에는 항바이러스제를 통해 감기처럼 치료하기도 해요.
폐렴 예방
- 철저한 손 위생 : 정기적으로 비누와 물로 손을 씻고 손 소독제를 연속적으로 사용하자.
- 입과 코 가리기 : 기침이나 재채기를 할 때는 티슈나 손으로 입과 코를 가리자.
- 긴밀한 접촉을 피하기 : 특히나 나 독감 시즌에는 호흡기 감염이 있는 개인에 대한 노출을 최소화하는 것이 필요합니다.
- 백신 접종 : 독감 백신 및 폐렴구균 백신과 같은 관리접종은 특정 유형의 폐렴을 관리하는 데 큰 이로움이 됩니다.
- 건강한 라이프스타일 유지 : 균형 잡힌 식사를 하며, 규칙적으로 운동하며, 충분한 휴식을 취하며, 만성 질병을 예방해서 면역 체계를 강화하자.
전립선암 초기증상 10가지
전립선암을 조기에 발견하지 못해 치료 없이 방치하게 되면 전립선암이 자라서 신체의 다른 부위로 퍼질 수 있으며, 배뇨 곤란, 고통, 심지어 사망과 같은 더 심각한 건강 문제로 이어질 가능성
cnfqkftjs.againnew.co.kr
폐암 초기증상 11가지 특징
폐암은 위암, 갑상선암 다음으로 3번째로 발병 빈도가 높은 3대 암 중 한 가지인데요. 폐암은 재발과 전이까지의 빈도도 잦은지라 완치가 어렵다고 하며 폐암 발병 초기에는 거의 증상이 없을 수
cnfqkftjs.againnew.co.kr